Sonographie der
Schilddrüse
Neben den Laboruntersuchungen ist der wichtigste Bestandteil der
Schilddrüsendiagnostik und -therapie die Ultraschalluntersuchung. Mit
ihr kann zuverlässig abgeklärt werden, ob Veränderungen der
Schilddrüse vorliegen und schon wegweisend eine (Verdachts-)diagnose
formuliert werden.
Normalvolumen der Schilddrüse:
Mann 1225 ml
Frau 1018 ml
610jährige < 8 ml
1114jährige < 10 ml
1518jährige < 15 ml
Bei Kindern errechnet sich das MInimalvolumen nach der Formel: kg KG x
0,12.
Sehr hilfreich und zielführend zur Einschätzung der Dignität
(Wertigkeit) sonographisch untersuchter Knoten ist das von Horvath et al.
(2009) vorgeschlagene und prospektiv evaluierte System zur Klassifizierung
der Befunde von Schilddrüsenknoten, das Thyroid Imaging Reporting and
Data System (Tirads). Dieser Tirads-Score unterteilt die Wahrscheinlichkeit
von Gut-, beziehungsweise Bösartigkeit der Schilddrüsenknoten in
sechs Kategorien (siehe Abb. 15):
Tirads 1: Normale Schilddrüse
Tirads 2: Gutartige Knoten, 0 % Malignität
Tirads 3: Wahrschienlich gutartige Knoten, < 5 % Malignität
Tirads 4: Suspekte Knoten, 580 % Malignität
a: unbestimmte Dignität, Malignität
510 %
b: suspekte Dignität, Malignität
1080 %
Tirads 5: Wahrscheinlich maligne Knoten, Malignität > 80 %
Tirads 6: Bioptisch gesicherte Malignität
Sonographisch finden sich entsprechend der Tirads-Kriterien folgende Befunde
(nach Führer 2012, siehe auch Abb. 15)
Tirads 1: normale Schilddrüse
Tirads 2: gutartig
echofrei mit stärker echogenen Punkten, nicht
vaskularisiert
keine Kapsel, gemischtes Echomuster, vaskularisiert,
schwammartig
keine Kapsel, gemischte Echogenität mit solidem Anteil,
isoechogen, vaskularisiert, schwächer echogene Punkte
Tirads 3: wahrscheinlich gutartig
stärker, iso- oder schwächer echogen, teilweise mit
Kapsel, peripher vaskularisiert
bei
Hashimoto-Thyreoiditis
Tirads 4: verdächtig
4a solider oder gemischter iso- oder schwächer echogener
Knoten mit dünner Kapsel
4b schwächer echogene Läsion mit schlecht definierbaren
Grenzen ohne Kalzifizierungen
stärker, iso- oder schwächer
echogener Knoten mit dicker Kapsel und scholligen oder
Mikrokalzifizierungen
Tirads 5: wahrscheinlich maligne
Muster A: schwächer echogener Knoten ohne Kapsel, mit
irregulärer Form und Grenzen, penetrierende Gefäße, mit oder
ohne Kalzifizierungen
Muster B: Iso- oder schwächer echogener Knoten ohne Kapsel
mit multiplen Mikrokalzifizierungen und Hypervaskularisierung
Muster C: isoechogener Knoten ohne Kapsel, gemischte
Hypervaskularisierung mit oder ohne Kalzifizierungen, ohne stärker echogene
Punkte
Tirads 6: Feinnadelaspirationszytologie maligne.
Mit Hilfe dieser Kategorien der B-Bild-Sonographie lässt sich entscheiden,
ob die Knoten weiter diagnostiziert (ab Tirads 4) oder nur beobachtet (bis
Tirads 3) werden. Diagnostisch kommen die Szintigraphie, Feinnadelpunktion
und/oder chirurgische Entfernung in Betracht, wobei der Tirads-Score als
ein Algorithmus für die Feinnadelbiopsie (FNB) entwickelt wurde. Alle
Befunde für die Dignitätseinschätzung von Schilddrüsenknoten
sind nicht als absolut zu handhaben, sondern als ein algorithmisches Kriterium.
Das heißt, auch Knoten mit ausschließlich gutartigen Befunden
können (wenn auch sehr selten) bösartig sein.
Gutartige Kriterien
Glatte Begrenzung, wenig bis nicht vaskularisiert, Halo, schwammartiger Aspekt
mit breiten Trabekeln, hyperechogene Punkte, weiches Gewebe.
Suspekte Kriterien
unscharfe Begrenzung, reich vasukularisiert, fehlender Halo, Mikrokalk,
Polgefäße, hartes Gewebe.
Knotenbefunde
(weitere Befunde, nächste
Seite)
 |
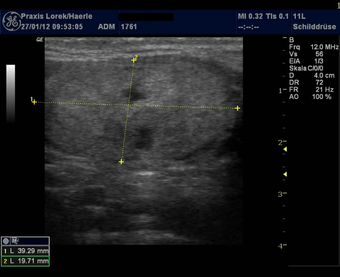
| Abb. 1 und 2:
Ungleichmäßige Echoarmut der Schilddrüse bei einer
31-jährigen Patientin, Schilddrüse mit etwa 8,8 ml etwas unterhalb
des Normbereichs, eher atrophische Verlaufsform (Ord-Thyreoiditis), Zufallsbefund
2008, es werden keine Symptome angegeben. Keine Knoten. |
 |
| Abb. 3 und 4:
Ungleichmäßige Echoarmut der Schilddrüse bei einer
27-jährigen Patientin, Schilddrüse mit etwa 19,4 ml leicht
vergrößert, eher hypertrophe Verlaufsform (klassische
Hashimoto-Thyreoiditis), Patientin klagte unter Müdigkeit während
ihrer ersten Schwangerschaft 2005. Pseudoknoten Tirads 3 im linken dorsalen
Lappen. |
 |
| Abb. 5 und 6: Homogen
isoechogener Knoten mit einer Größe von etwa 2,9 x 1,2 cm,
Zufallsbefund bei einer 49-jährigen Patientin, die über Müdigkeit
klagte. Szintigraphisch erscheint der Knoten neutral, es besteht eine leichte
Hypothyreose, da die Patientin ein viel zu kleines Organ hat, siehe re. Abb.
mit rechtem Schilddrüsenlappen, der nur 1,32 ml Volumen hat. Die Patient
ist unter L-Thyroxin 150 ug im Wechsel mit 125 ug beschwerdegebessert. Der
Knoten auf der linken Schilddrüsenseite (Abb. li.) nimmt fast den gesamten
Lappen ein, ist peripher vaskularisiert, mit einer dünnen Kapsel (Tirads
4a) und wird im Follow-Up kontrolliert. |
.jpg) |
| Abb. 7 und 8: Isoechogener,
inhomogener Knoten mit echoarmen Arealen, etwa 3,9 x 2,0 cm
Größe bei einer 61-jährigen Patientin. Man erkennt eine glatte
Begrenzung, echonormale Areale im Wechsel mit echoarmen Anteilen, Tirads
4a. Der Knoten ist szintigraphisch warm und wird mit L-Thyroxin 125
seit Jahren behandelt, warmes Adenom. Der Befund ist stabil und wird
einmal im Jahr kontrolliert. Durch die Behandlung mit L-Thyroxin ist das
TSH supprimiert, was gewünscht ist, die Patientin ist
beschwerdefrei. |
.jpg) |
| Abb. 9 und 10: Ebenfalls
inhomogener Knoten wie bei Abb. 7 und 8, der Farbdoppler gibt eine
verstärkte Durchblutung an und lässt zwischen zystischen
Knoten-Strukturen und Gefäßen differenzieren. Tirads 4b.
67-jährige Patientin mit ebenfalls warmem Knoten unter supprimierender
Behandlung mit L-Thyroxin. |
 |
| Abb. 11 und 12:
Schilddrüsenknoten einer 40-jährigen Patientin, mit kräftiger
randständiger Verkalkung, szintigraphisch neutral, euthyreot. Zufallsbefund
im Rahmen einer Schilddrüsenuntersuchung. Grobe Verkalkungen von
Schilddrüsenknoten, insbesonders schalenförmige Kalzifizierungen
sprechen eher für einen gutartigen Knoten, erfordern
regelmäßigen Follow Up (Tirads 4b) wenn das Szintigramm nicht
auffällig ist. Feine Verkalkungen hingegen wären arbeitshypothetisch
immer suspekt bis zum Beweis des Gegenteils, ebenfalls bei auffälliger
Szintigraphie (reduzierte Speicherung). Es erfolgte keine Therapie
bisher. |
 |
Abb. 13 und 14: Zystischer
Knoten, bzw. Zyste in einer vielknotigen Schilddrüse (Struma multinodosa)
bei einer 28-jährigen Frau. Dass es sich nicht um ein Gefäß
handelt, erschließt sich entweder in der mehrdimensionalen Schallung
oder der Aussparung beim Farbduplex (Abb. re. ohne Farbecho im Duplexrechteck,
während die Arteriolen rot erscheinen). Therapie erfolgte mit L-Thyroxin
75 ug und dem Ziel, TSH in den supprimierten Bereich zu bringen, um die doch
deutliche Verknotungstendenz der multi-autonomen Schilddrüse zu
stabilisieren. Bisher seit 5 Jahren erfolgreich, im Farbduplex deutliche
Abnahme der Durchblutungsintensität. L-Thyroxin erfolgt nach Abwägung,
trotz des erhöhten Osteoporoserisikos bei Einnahme im jungen Alter (Peak
Bone Mass).

Abb. 15 Sonographien von Knoten der Schilddrüse, aus Horvath et al.
(2009), mit freundlicher Genehmigung von Carmen Franco.
Bild A: Kolloidale Zysten, anechogene Areale mit hyperechogenen Punkten,
Tirads 2, Kolloid-Typ 1.
Bild B: Kolloidaler Knoten, isoechogene Areale mit hyperechogenen Punkten,
Tirads 2, Kolloid-Typ 2.
Bild C: Kolloidaler Knoten, iso- und anechogene Areale mit breiten Septen
und hyperechogenen Punkten, Tirads 3, Kolloid-Typ 3.
Bild D: Hashimoto-Thyreoiditis: hyperechogener Pseudoknoten (Pfeil), iso-
oder hypoechogene Areale Tirads 3.
Bild E: .Solider hyperechogener Knoten ohne Kalzifizierungen, dünne
Kapsel, Tirads 4a.
Bild F: Hypoechogenes Areal mit unscharfer Begrenzung ohne Kalzifizierung,
De Quervain Thyreoiditis, Tirads 4a.
auch möglich wäre bei so einem Bild ein Malignom.
Bild G: Suspekter Knoten, heterogene Areale, Kalzifizierungen, dicke
Verkapselung, Tirads 4b.
Bild H: Malignes Muster, hypoechogene Knoten, unscharfe Begrenzung mit
(dünner Pfeil) oder ohne Verkalkungen (dicker Pfeil), Tirads 4b.
BIld I: Malignes Muster, isoechogene Areale, unscharfe Begrenzung, "Salz-
und Pfeffer" Aspekt durch peripheren Mikrokalk, Tirads 5.
Bild J: .Gemischter Knoten mit iso- und hypoechogenen Arealen, Kalk, keine
hyperechogenen Punkte, Tirads 5. |
Literatur
Führer, G. 2012: Was gibt es Neues in der Thyroidologie? 1.
Schilddrüsen-Symposium Ruhr, 12. Mai 2012, Zeche Zollverein Essen.
Grünwald, F. & Middendorp, M. 2008: Neue Erkenntnisse zu Erkrankungen
der Schilddrüse. New Findings in Thyroid Disease. Dtsch.
Ärztebl., 105 (4), 6970.
Horvath, E., Majlis, S., Rossi, R., Franco, C., Niedmann, J. P., Castro,
A. & Dominguez, M. 2009: An Ultrasonogram reporting system for Thyroid
nodules stratifying cancer risk for clinical management. J. Clin.
Endocrin. Metab., 94 (5), 17481751.
|
|